En son teknoloji ile en kısa sürede doğru tanı
Manyetik Rezonans Görüntüleme veya MRI, vücudun iç yapılarının ayrıntılı görüntülerini oluşturmak için güçlü bir manyetik alan ve radyofrekans dalgaları kullanan tıbbi bir görüntüleme tekniğidir. MRI, yumuşak dokuların, organların ve diğer yapıların yüksek çözünürlüklü görüntülerini sağlar ve bu da onu çeşitli tıbbi durumların teşhis edilmesi ve değerlendirilmesi için değerli bir araç haline getirir.
Hasta, MR makinesinin oluşturduğu güçlü bir manyetik alanın içerisine yerleştirilir. Manyetik alan vücuttaki hidrojen atomlarını hizalar. Bu sayede İyonize radyasyon kullanmadan yüksek görüntü kalitesi sağlanmış olur.
2020 yılında yenilenen ve sürekli olarak güncellenen ileri düzeyde teknoloji ve yazılımlara sahip GEH (General Electric Healthcare) Signa Explorer 1,5Tesla cihazımız sayesinde hasta konforu, çekim kalitesi ve güvenilirlik her zaman birinci önceliğimiz olmuştur. Bu koşullarda merkezimizde rutin ve özel olarak ;
Cihazın ileri aplikasyon uygulamaları;
Cihaz yazılım paketi son derece gelismis sekansları içermektedir.
Manyetik Rezonans Görüntüleme (MRI) doğası gereği üç boyutlu (3D) bir görüntüleme tekniğidir. Geleneksel iki boyutlu röntgen görüntülerinden farklı olarak MRI, 3 düzlemde ve vücudun üç boyutlu ayrıntılı kesit görüntülerini sağlar. MR'ın 3 boyutlu doğası, görüntüleme verilerinin elde edilme ve işlenme şeklinin bir sonucudur.





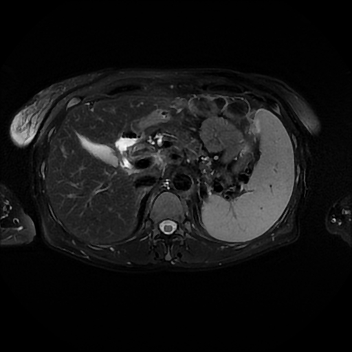
Nefes tutabilen ve tutamayan hastalara yönelik sekanslar kullanılır. Yüksek rezolüsyonlu ve dinamik karaciğer görüntülemesi(LAVA),MR pankreatiko kolanjiografi tetkiklerinde bilier ve pankreatik kanallar noninvazif görüntülenebilmekte, hızla tanısal amaçlı ERCP incelemelerinin yerini almaktadır.MR ürografi tetkikleri yapılır.



Sistemimiz her türlü MR anjio tetkiklerine olanak sağlar.
Smart prep ile otomatik olarak bolus yakalama imkanı vardır. Bu sistem ile periferik vasküler MR anjiolari kusursuz gerçeklestirmek mümkündür. Hastaların tanısal amaçlı invaziv bir yöntem olan klasik anjiografiye gitmelerini kısmen önleyecek olan MR anjiografi incelemesi sayesinde, damarlar üç boyutlu olarak görüntülenebilmekte, sorunlar saptanabilmektedir.





Kardiyak Manyetik Rezonans Görüntüleme (MRI), kalbin yapısı ve fonksiyonunun ayrıntılı olarak görüntülenmesine ve değerlendirilmesine olanak tanıyan özel bir görüntüleme tekniğidir. İyonlaştırıcı radyasyon kullanılmadan kalbin ve çevresindeki yapıların yüksek kaliteli görüntülerini sağlar. Başlıca incelemeler




Mamografi ve ultrasonun kesin tani koyamadigi olgularda meme kanserinin tanisina yonelik meme MRG yapilabilir. Ozel meme koili ile her iki meme ayni anda goruntulenebilmektedir. Dinamik teknik ile VIBRANT sekansi kullanilarak degisik planlarda, yuksek cozunurlukte, hizli goruntuler alinabilmektedir. Grafik analizler ve kantitatif degerlendirmeler yapilabilmektedir.


Kas-iskelet sistemi, eklemler ve kemik iliği değerlendirilimi ile yumuşak doku tümörlerinde temel yöntem konumundadır. Spor hekimliğinde ve spor travmalarında ilk tercih edilen inceleme yöntemidir.






Servikal spinal kolon, temporomandibuler eklem ve el bileği ekleminde hareketin değişik evrelerinde görüntüler alınarak sine formatında değerlendirilebilmektedir.
Manyetik Rezonans Görüntüleme veya MRI, vücudun iç yapılarının ayrıntılı görüntülerin…
Devamını OkuKardiyak Manyetik Rezonans Görüntüleme (MRI), kalbin yapısı ve fonksiyonunun ayrıntıl…
Devamını OkuMamografi ve ultrasonun kesin tani koyamadigi olgularda meme kanserinin tanisina yone…
Devamını OkuManyetik rezonans spektroskopisi (MRS), manyetik rezonans görüntüleme (MRG) teknoloji…
Devamını Oku